生物技术进展 ›› 2022, Vol. 12 ›› Issue (1): 129-134.DOI: 10.19586/j.2095-2341.2021.0061

• 研究论文 • 上一篇    下一篇

松果菊苷对db/db糖尿病小鼠心肌的保护作用

廖敏(), 杨洛, 王珍, 郝亚荣()   

  1. 武汉大学人民医院老年病科,武汉 430060
  • 收稿日期:2021-04-21 接受日期:2021-09-03 出版日期:2022-01-25 发布日期:2022-01-26
  • 通讯作者: 郝亚荣
  • 作者简介:廖敏 E-mail:1287144956@qq.com
  • 基金资助:
    湖北省自然科学基金项目(2016CFB673)

Protective Effect of Echinacoside on Myocardium in db/db Diabetic Mice

Min LIAO(), Luo YANG, Zhen WANG, Yarong HAO()   

  1. Department of Geriatrics,Renmin Hospital of Wuhan University,Wuhan 430060,China
  • Received:2021-04-21 Accepted:2021-09-03 Online:2022-01-25 Published:2022-01-26
  • Contact: Yarong HAO

摘要:

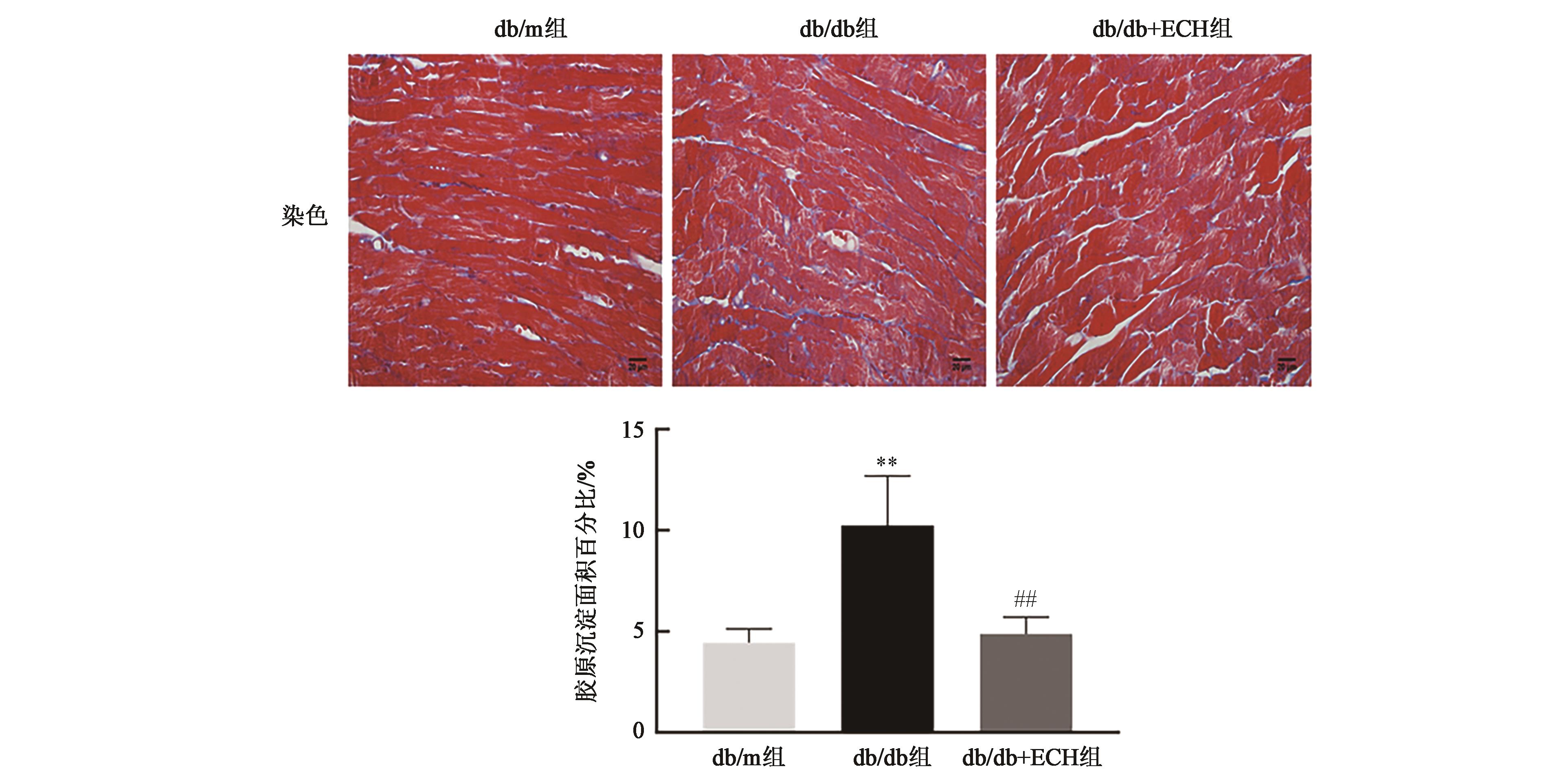
糖尿病心肌病(diabetic cardiomyopathy, DCM)是指发生于糖尿病患者,不能用冠心病、高血压性心脏病及其他心脏病变来解释的心肌疾病。目前,DCM的病因和发病机制尚未完全阐明,且缺乏特异性治疗手段。中药管花肉苁蓉提取物松果菊苷(echinacoside, ECH)对心肌细胞具有保护作用。以db/m小鼠为正常对照组(db/m组),db/db小鼠分为模型组(db/db组)和ECH干预组(db/db+ECH组),探讨了ECH对糖尿病db/db小鼠心肌的影响及机制。db/db+ECH组小鼠给予松果菊苷灌胃,db/m组和db/db组小鼠给予0.9%氯化钠溶液灌胃。心脏超声观察心脏功能,Masson染色观察组织胶原纤维含量,逆转录聚合酶链式反应检测Ⅰ型胶原和Ⅲ型胶原mRNA的表达,蛋白质免疫印迹技术检测转化生长因子-β1(transforming growth factor-β1, TGF-β1)、phospho-Smad2(p-Smad2)和phospho-Smad3(p-Smad3)的表达。结果显示,ECH能够改善db/db小鼠左心室肥大和心脏功能,降低胶原沉积(P<0.05)。ECH能够降低Ⅰ型和Ⅲ型胶原mRNA的表达(P<0.01),下调TGF-β1、p-Smad2和p-Smad3蛋白的表达(P<0.05)。ECH对糖尿病心肌的保护作用可能与负反馈调节TGF-β1/Smads信号通路相关,研究结果为DCM的早期干预提供了新思路。

关键词: 松果菊苷, db/db小鼠, 糖尿病心肌病, 转化生长因子-β1, 胶原

Abstract:

Diabetic cardiomyopathy (DCM) is a kind of myocardial disease occurring in diabetic patients that can't be explained by coronary heart disease, hypertensive heart disease and other cardiac diseases. At present, the etiology and pathogenesis of DCM have not been fully elucidated and specific treatment is lacking. It was found that echinacoside (ECH), an extract from Cistanche tubulosa, had a protective effect on cardiomyocytes. In this study, db/m mice were used as normal control group (db/m group), and db/db mice were divided into model group (db/db group) and ECH intervention group (db/db+ECH group), to investigate the effect and mechanism of ECH on myocardium of diabetic db/db mice. Mice in db/db +ECH group were intragastrically with ECH, and mice in db/m group and db/db group were intragastrically with 0.9% sodium chloride solution. The cardiac function was observed by echocardiography. Masson staining was used to observe the content of collagen fiber in myocardial tissue. Collagen Ⅰand collagen Ⅲ mRNA expression levels were detected by reverse transcription-polymerase chain reaction, and the protein expression levels of transforming growth factor-β1 (TGF-β1), phospho-Smad2(p-Smad2) and phospho-Smad3 (p-Smad3) were detected by Western blotting. The results showed that ECH relieved left ventricular hypertrophy and dysfunction, and decreased collagen deposition in db/db mice (P<0.05). ECH decreased the mRNA expression of collagen Ⅰand collagen Ⅲ (P<0.01), down-regulated the protein expression of TGF-β1, p-Smad2 and p-Smad3(P<0.05). The protective effect of ECH on diabetic myocardium may be related to the negative feedback regulation of TGF-β1/Smads signaling pathway, which provides a new idea for the early intervention of DCM.

Key words: echinacoside, db/db mice, diabetic cardiomyopathy, transforming growth factor-β1, collagen

中图分类号: