生物技术进展 ›› 2025, Vol. 15 ›› Issue (6): 1031-1039.DOI: 10.19586/j.2095-2341.2025.0058

• 研究论文 • 上一篇    

转基因玉米Bt11特异性定性PCR检测方法的建立

田锦1,2(), 高芳瑞1, 李玲2, 陈子言1, 陈一帆3, 张华1, 陈红1(), 王颢潜1, 梁晋刚1()   

  1. 1.农业农村部科技发展中心,北京 100176
    2.北京农业职业学院食品与生物工程学院,北京 102442
    3.上海市农业科学院生物技术研究所,上海 201106
  • 收稿日期:2025-04-30 接受日期:2025-08-13 出版日期:2025-11-25 发布日期:2026-01-04
  • 通讯作者: 陈红,梁晋刚
  • 作者简介:田锦 E-mail: 73466@bvca.edu.cn
  • 基金资助:
    农业生物育种国家科技重大专项(2022ZD04019);农业农村部农业国家和行业标准制修订项目(农质标函〔2022〕66号);农业农村部农业科研杰出人才培养计划项目

Establishment of Specific Qualitative PCR Detection Method of Transgenic Maize Bt11

Jin TIAN1,2(), Fangrui GAO1, Ling LI2, Ziyan CHEN1, Yifan CHEN3, Hua ZHANG1, Hong CHEN1(), Haoqian WANG1, Jingang LIANG1()   

  1. 1.Development Center of Science and Technology,Ministry of Agriculture and Rural Affairs,Beijing 100176,China
    2.College of Food and Bioengineering,Beijing Vocational College of Agriculture,Beijing 102442,China
    3.Biotechnology Research Institute,Shanghai Academy of Agricultural Sciences,Shanghai 201106,China
  • Received:2025-04-30 Accepted:2025-08-13 Online:2025-11-25 Published:2026-01-04
  • Contact: Hong CHEN,Jingang LIANG

摘要:

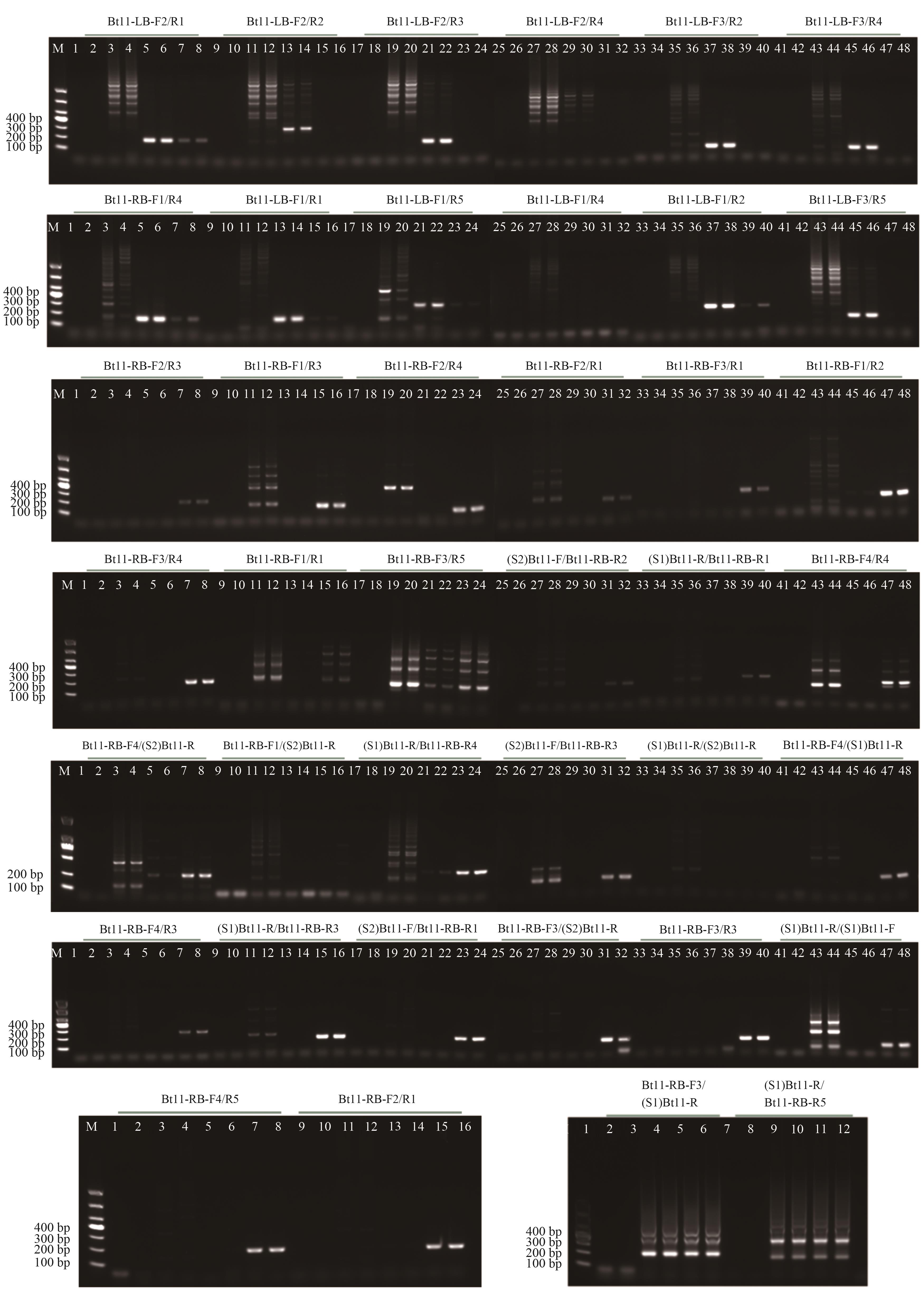
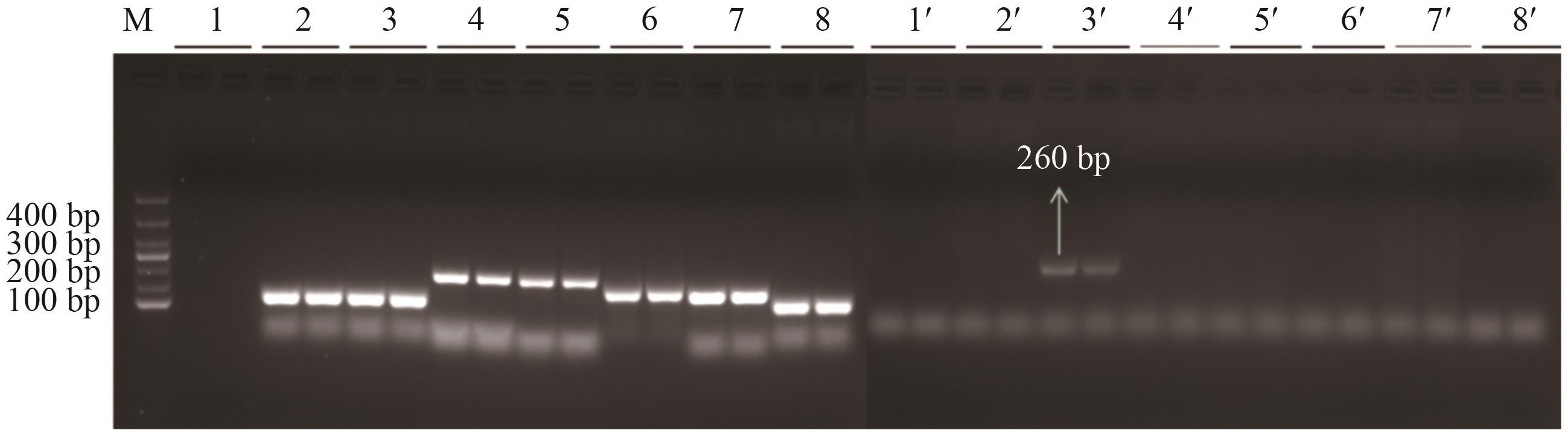
研究旨在建立一套用于精准检测转基因抗虫玉米Bt11的特异性定性PCR检测方法,以满足转基因生物安全管理的需求,确保转基因玉米产品的安全性和真实性。采用QIAGEN DNeasy? Plant Maxi kit提取Bt11基因组DNA,基于Bt11外源基因插入片段侧翼序列设计并筛选特异性引物。通过调整退火温度和引物浓度,进行特异性、检出限和再现性测试,优化检测条件。最终选择Bt11-RB-F3/R3引物组合,确定退火温度为60 ℃,引物浓度为0.4 μmol·L-1。该引物组合能特异性扩增260 bp的目标片段,且无非特异性扩增。在拷贝数比值为0.1%的样品中,该方法可稳定检出Bt11转化体,检出限为0.1%。再现性测试表明,不同操作人员、不同时间段和不同PCR仪的检测结果一致,符合预期。研究成功建立了一种科学、可靠的Bt11转基因玉米检测方法,能够精准、高效地检测Bt11转化体,为转基因生物安全管理机构提供了强有力的技术支持,对加强转基因生物安全监管体系具有重要意义。

关键词: 转基因玉米, Bt11, 定性PCR技术, 特异性检测

Abstract:

This study aims to establish a specific qualitative PCR detection method for the precise identification of the Bt11 transgenic insect-resistant maize, in order to meet the requirements of biosafety management of genetically modified (GM) organisms and ensure the safety and authenticity of GM maize products. The genomic DNA of Bt11 was extracted using the QIAGEN DNeasy? Plant Maxi kit, and specific primers were designed and screened based on the flanking sequences of the inserted foreign gene segment in Bt11. The detection conditions were optimized by adjusting the annealing temperature and primer concentration, specificity, detection limit, and reproducibility of the method were tested. The primer pair Bt11-RB-F3/R3 was ultimately selected, with an annealing temperature of 60 ℃ and a primer concentration of 0.4 μmol·L-1. The selected primer pair Bt11-RB-F3/R3 specifically amplified a 260 bp target fragment without any non-specific amplification. The method was able to stably detect the Bt11 transgenic event in samples with a copy number ratio of 0.1%, establishing a detection limit of 0.1%. The reproducibility test demonstrated that the detection results across different operators, time periods, and PCR instruments are consistent and meet the expected outcomes. This study successfully established a scientific and reliable detection method for Bt11 transgenic maize, which is capable of precisely and efficiently identifying the Bt11 transgenic event. This method provides strong technical support for biosafety management institutions and holds significant importance for strengthening the regulatory system of GM biosafety.

Key words: genetically modified maize, Bt11, qualitative PCR, specific detection

中图分类号: