生物技术进展 ›› 2022, Vol. 12 ›› Issue (2): 248-255.DOI: 10.19586/j.2095-2341.2021.0158

• 研究论文 • 上一篇    下一篇

抗虫玉米CM8101定性检测方法的建立

温洪涛1(), 杨洋1(), 丁一佳1, 苑冉1, 张瑞英1, 徐志远2(), 梁晋刚3()   

  1. 1.黑龙江省农业科学院农产品质量安全研究所,哈尔滨 150086
    2.东北农业大学农学院,哈尔滨 150038
    3.农业农村部科技发展中心,北京 100176
  • 收稿日期:2021-09-23 接受日期:2021-10-22 出版日期:2022-03-25 发布日期:2022-03-25
  • 通讯作者: 徐志远,梁晋刚
  • 作者简介:温洪涛与杨洋为本文共同第一作者。温洪涛E-mail:wen0891@163.com
    杨洋E-mail:yangy_yx@163.com
  • 基金资助:
    国家转基因新品种培育重大专项(2018ZX08011-04B)

Establishment of Qualitative PCR Detection of Transgenic Insect⁃resistant Maize CM8101

Hongtao WEN1(), Yang YANG1(), Yijia DING1, Ran YUAN1, Ruiying ZHANG1, Zhiyuan XU2(), Jingang LIANG3()   

  1. 1.Quality & Safety Institute of Agricultural Products,Heilongjiang Academy of Agricultural Sciences,Harbin 150086,China
    2.College of Agriculture,Northeast Agricultural University,Harbin 150038,China
    3.Development Center of Science and Technology,Ministry of Agriculture and Rural Affairs,Beijing 100176,China
  • Received:2021-09-23 Accepted:2021-10-22 Online:2022-03-25 Published:2022-03-25
  • Contact: Zhiyuan XU,Jingang LIANG

摘要:

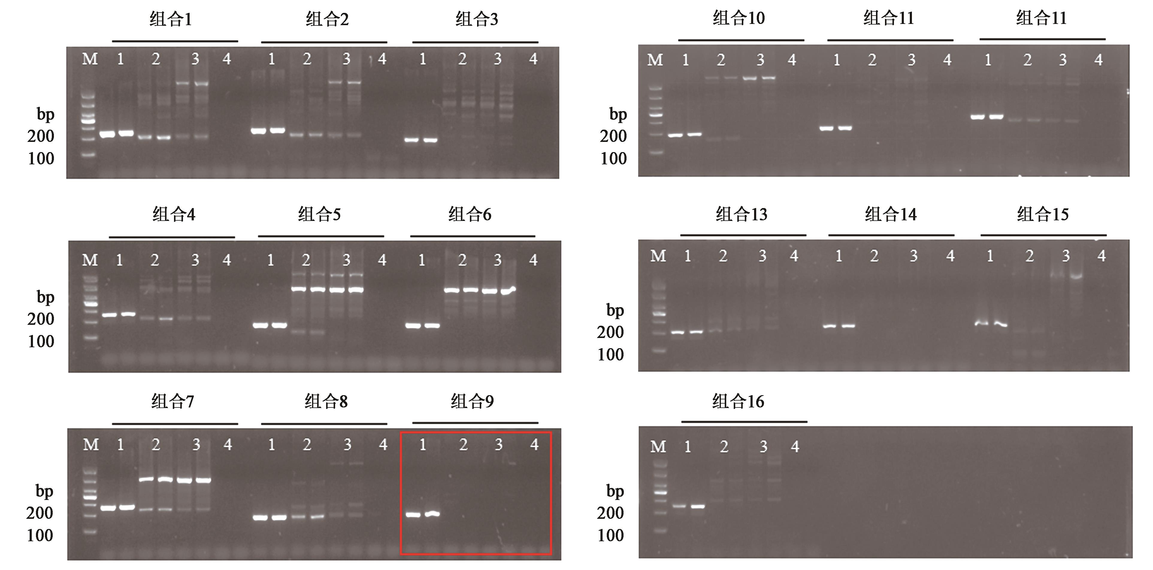
转基因抗虫玉米CM8101是经人工改造合成的转Bt抗虫基因Cry1Ab?Ma转基因玉米新品系,由我国自主研发,具有更优良的抗虫性,目前已进入生产性试验阶段,具有广阔的产业化应用前景。依据CM8101的5′端旁侧序列信息,设计并筛选出最佳引物探针组合,通过普通PCR和实时荧光PCR技术,建立了转基因抗虫玉米CM8101的两种特异性定性检测方法。结果显示,普通PCR检测方法检出限达0.1%,实时荧光PCR检测方法检出限达0.05%。这两种定性检测方法的建立为今后准确高效检测转基因抗虫玉米CM8101及其产品提供了新的参考方法。

关键词: 转基因玉米, CM8101转化体, 定性检测

Abstract:

Transgenic insect-resistant maize CM8101 is a new strain with modified Bt gene Cry1Ab?Ma syntheszied by artificial transformation. It is developed by China and has better insect resistance. At present, this strain has entered the stage of productive test, and it has important industrial application prospect in China. According to the 5′ flanking sequence information of transgenic maize CM8101, the optimal specific primer and probe combinations were designed and screened. A normal PCR assay and a real-time PCR assay for transgenic insect-resistant maize CM8101 were developed in this paper. Both methods could be used to qualitatively detect the component of transgenic insect-resistant maize CM8101 with good specificity. The results showed that the detection limit of normal PCR method was up to 0.1%, and the detection limit of real-time PCR method was up to 0.05%. Establishment of the two qualitative PCR methods provides new reference method for accurate and efficient detection of transgenic insect resistant maize CM8101 and its products in the future.

Key words: genetically modified maize, CM8101 event, qualitative detection

中图分类号: